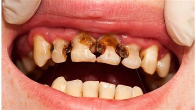
3 أعراض لتأثير مرض السكري على الأسنان
يؤثر مرض السكري على العديد من أجزاء الجسم، بما في ذلك الأسنان، كما يعتبر السكري عاملاً رئيسياً في تكوين التسوس والتهاب اللثة، وهو يؤثر على صحة الأسنان بطرق متعددة. في هذا التقرير، سنتناول 3 أعراض رئيسية لتأثير مرض السكر على الأسنان..