الثلاثاء 18 نوفمبر 2025
رئيس مجلس الأدارة
خالد جودة
رئيس التحرير
هند أبو ضيف
هير نيوز هير نيوز
رئيس مجلس الأدارة
خالد جودة
رئيس التحرير
هند أبو ضيف

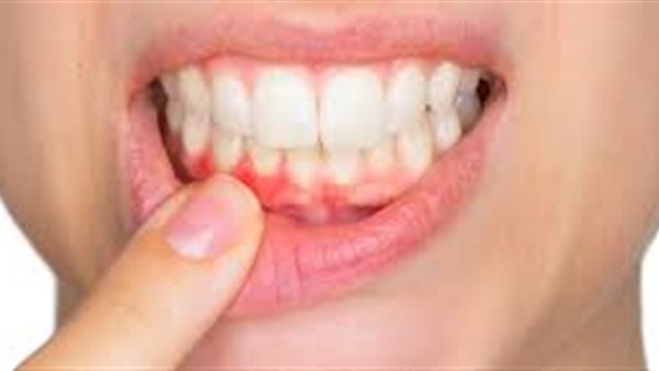
طبيبة تؤكد: نصف سكان العالم يعانون من أمراض اللثة والأسنان لهذه الأسباب

هير نيوز

أوضحت الدكتورة نانسي محمود، استشاري الفم وجراحة الأسنان، أن نصف سكان العالم يعانون من أمراض اللثة والفم خاصة مع انتشار التدخين بين الفئات الصغيرة في العمر، كما أن هناك الكثيرون ممن لا يتوجهون لطبيب الأسنان إلا عند الشعور بالألم.

غسل الأسنان بعد كل وجبة

وأضافت خلال مداخلة هاتفية ببرنامج "8 الصبح" المذاع على قناة "دي إم سي" أنه من الضروري عمل متابعة لدى طبيب الأسنان بشكل دوري للتأكد من صحة الأسنان، وكذلك ينبغي غسل الأسنان بعد الانتهاء من كل وجبة، ومراعاة تناول الوجبات الصحية.

اقرأ أيضًا..

تم نسخ الرابط